Symptome und Diagnostik
Ehe die Patienten beim Tierarzt vorgestellt werden, besteht oft schon eine längere Vorgeschichte, da die Krankheit in der Regel schleichend beginnt. Erste Anzeichen sind meist Probleme der Hinterhand wie breitbeiniger Stand und unsicherer, unkoordiniert wirkender Gang. Die Hunde haben durch die Hinterhandschwäche Probleme beim Aufstehen. Mit Fortschreiten des Krankheitverlaufs zeigen sich zunehmende Lähmungserscheinungen der Hinterhand, äußerlich erkennbar auch durch von oben abgewetzte Krallen (bedingt durch das Nachschleifen der Pfoten beim Laufen). Zusätzlich treten Probleme im Bereich der Vorderhand auf, die sich durch einen steifen "trippelnden" Gang zeigen können. In einem Teil der Fälle kommt es zu ausgeprägter Schmerzsymptomatik im Halsbereich, besonders beim Strecken des Halses nach oben. Diese Hunde zeigen dann eine typische gesenkte Kopfhaltung, da durch die nach vorn gebeugte Halswirbelsäule eine Druckentlastung bewirkt wird.
Aus diesen körperlichen Symptomen wird der Tierarzt insbesondere bei den prädisponierten Rassen (Dogge, Dobermann) bereits eine Verdachtsdiagnose stellen. Die weitere Diagnostik ist dann nur durch bildgebende Verfahren (Röntgen mit Kontrastmittel, Computertomografie, MRT) möglich. Alle anderen klinischen Befunde (Blutuntersuchungen etc.) sind in der Regel normal. Differentialdiagnostisch sind verschiedene andere Erkrankungen des Rückenmarks (Entzündungen, Verletzungen, Tumore etc.) auszuschließen.
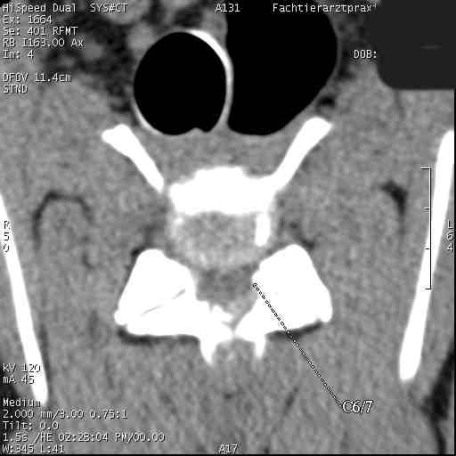
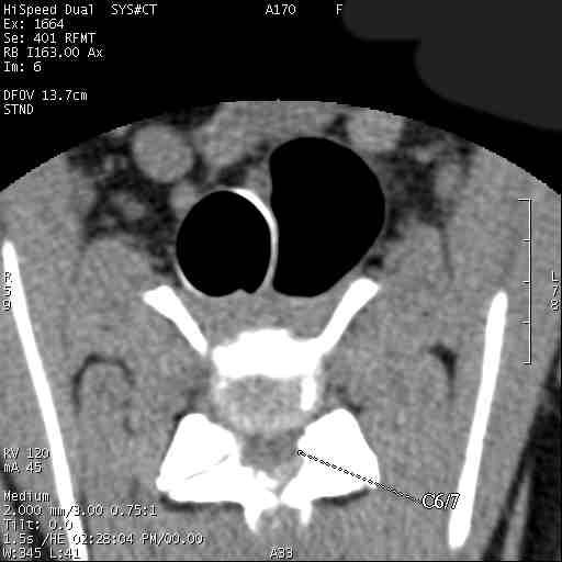
Mit Hilfe der bildgebenden Verfahren ist es möglich, den genauen Ort und Typ der Wirbelsäulenveränderung zu erkennen. Nur auf dieser Basis können therapeutische Entscheidungen getroffen werden. Die korrekte Interpretation solcher Befundbilder ist ausschließlich den Experten auf diesem Gebiet zugänglich, weshalb betroffene Hundebesitzer unbedingt eine spezialisierte Tierklinik aufsuchen und sich ausführlich beraten lassen sollten.
Im folgenden Beispiel sieht man computertomografische Bilder der Halswirbelsäule einer Dogge mit folgender Diagnose: Knöcherne Stensoe C3/4 [= 3./4. Halswirbel], sanduhrförmige Kompression des Myelons auf der Höhe C3/4, Bandscheibenvofall C6/7 [= 6./7. Halswirbel], Myelon mit seitlicher Abweichung nach links : Im Ergebnis eine Halswirbelstenose an den beiden Stellen mit Kompression des Myelons, die zu den Lähmungserscheinungen führt.
![]() |
|
||
![]() |
![]() |
||
![]() |
![]() |
[Herzlichen Dank an Iris Baumbach, die uns diese Aufnahmen überlassen hat!]





